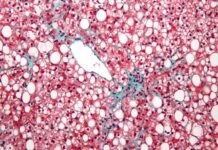
Τα αναψυκτικά διαίτης ίσως καταστρέφουν σιωπηλά το ήπαρ
Μεγάλου εύρους μελέτη έδειξε ότι τα άτομα που καταναλώνουν σε τακτική βάση τόσο αναψυκτικά με ζάχαρη όσο και light αναψυκτικά αντιμετωπίζουν σημαντικά αυξημένο...
Καρκίνος του προστάτη: αποτελεσματική θεραπεία με χειρουργική επέμβαση
Ο καρκίνος του προστάτη αποτελεί μια πάθηση που επηρεάζει εκατομμύρια άνδρες σε όλο τον κόσμο. Σήμερα, μπορεί να ιαθεί πλήρως αν διαγνωστεί έγκαιρα....
Γιατί πρέπει να αλλάξουμε τον τρόπο που βλέπουμε την παχυσαρκία
Γράφει η:Κατερίνα ΜπαρμπαγιάννηMD, MSc, Παθολόγος με εξειδίκευση στον Σακχαρώδη ΔιαβήτηMedical Advisor Φαρμασέρβ–ΛίλλυΗ παχυσαρκία αποτελεί μάστιγα της εποχής μας και οι συζητήσεις γύρω από αυτήν, ολοένα...
Δαπάνες υγείας: Στην κορυφή της ΕΕ η Ελλάδα σε επιβάρυνση νοικοκυριών – 35 στα...
Τεράστιες ανισότητες μεταξύ των χωρών-μελών της ΕΕ όσον αφορά στην επιβάρυνση των νοικοκυριών από δαπάνες υγείας αποκαλύπτουν τα νέα στοιχεία της Eurostat. Για...
Ακόμα μια αιματολογική εξέταση εγκρίθηκε στις ΗΠΑ για την Αλτσχάιμερ – Πόσο αξιόπιστη είναι;
Λίγους μήνες μετά την έγκριση της πρώτης εξέτασης αίματος που βοηθά στη διάγνωση της νόσου του Αλτσχάιμερ, η αμερικανική Υπηρεσία Τροφίμων και Φαρμάκων...
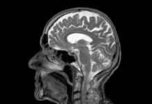
5-ALA: Η νέα εποχή στη χειρουργική των όγκων του εγκεφάλου
Γράφει ο Δρ. Νικόλαος ΚαραγεώργοςΔιευθυντής Νευροχειρουργικής, Ιατρικό Κέντρο Αθηνών (Μαρούσι)Πιστοποιημένος στη χειρουργική αφαίρεση όγκων εγκεφάλου με χρήση φθορισμού μέσω 5-ALAwww.neurosurgeon-athens.grΔρ. Νικόλαος Καραγεώργος Διευθυντής Νευροχειρουργικής,...
Ποιες ομάδες πολιτών πρέπει να εμβολιαστούν για κορονοϊό
Κρούσματα κορονοϊού έχουν κάνει ήδη την εμφάνισή τους, με τους ειδικούς να τονίζουν στους πολίτες πως θα πρέπει να εμβολιαστούν.Ιδιαίτερα, υπογραμμίζουν πως τα...
Χημική ουσία που συνδέεται με καρκίνο και υπογονιμότητα βρέθηκε σε πιπίλες
Χημική ουσία που συνδέεται με διαταραχές της σεξουαλικής ανάπτυξης, την παχυσαρκία και τον καρκίνο βρέθηκε σε πιπίλες που κατασκευάζονται από τρεις μεγάλες ευρωπαϊκές εταιρείες.Σύμφωνα...
Θρόμβωση: Σιωπηλή απειλή που μπορεί να προληφθεί
Μία από τις πιο συχνές και ύπουλες παθήσεις του κυκλοφορικού συστήματος αποτελεί η θρόμβωση. Μπορεί να εκδηλωθεί ξαφνικά και να απειλήσει τη ζωή...
Χέρι – χέρι ο διαβήτης με την παχυσαρκία απειλούν καρδιά, νεφρά και αγγεία
Έναν φαύλο κύκλο πυροδοτούν τα παραπάνω κιλά στη ζυγαριά, αυξάνοντας τις πιθανότητες για διαβήτη όσο τα χρόνια περνούν, ενώ ο διαβήτης επιδεινώνεται με...









